Иконка программы Sante DICOM Editor

Sante DICOM Editor: программа для работы с файлами DICOM

Если вы хоть раз сталкивались с медицинскими изображениями — например, при расшифровке МРТ или КТ-снимков — наверняка слышали о формате DICOM. Он буквально стандарт де-факто в медицине для передачи и хранения снимков. А вот работать с этим форматом бывает совсем не просто: открываешь — а там полная простыня из кадров, загадочных тегов и ещё неизвестно чего.

В своё время мне на глаза попалась программа Sante DICOM Editor. Сначала просто пробовал посмотреть и подредактировать пару файлов — потом понял: для врача, студента или исследователя вещь реально полезная. Сейчас расскажу, почему.

Интерфейс — будто из Microsoft Office

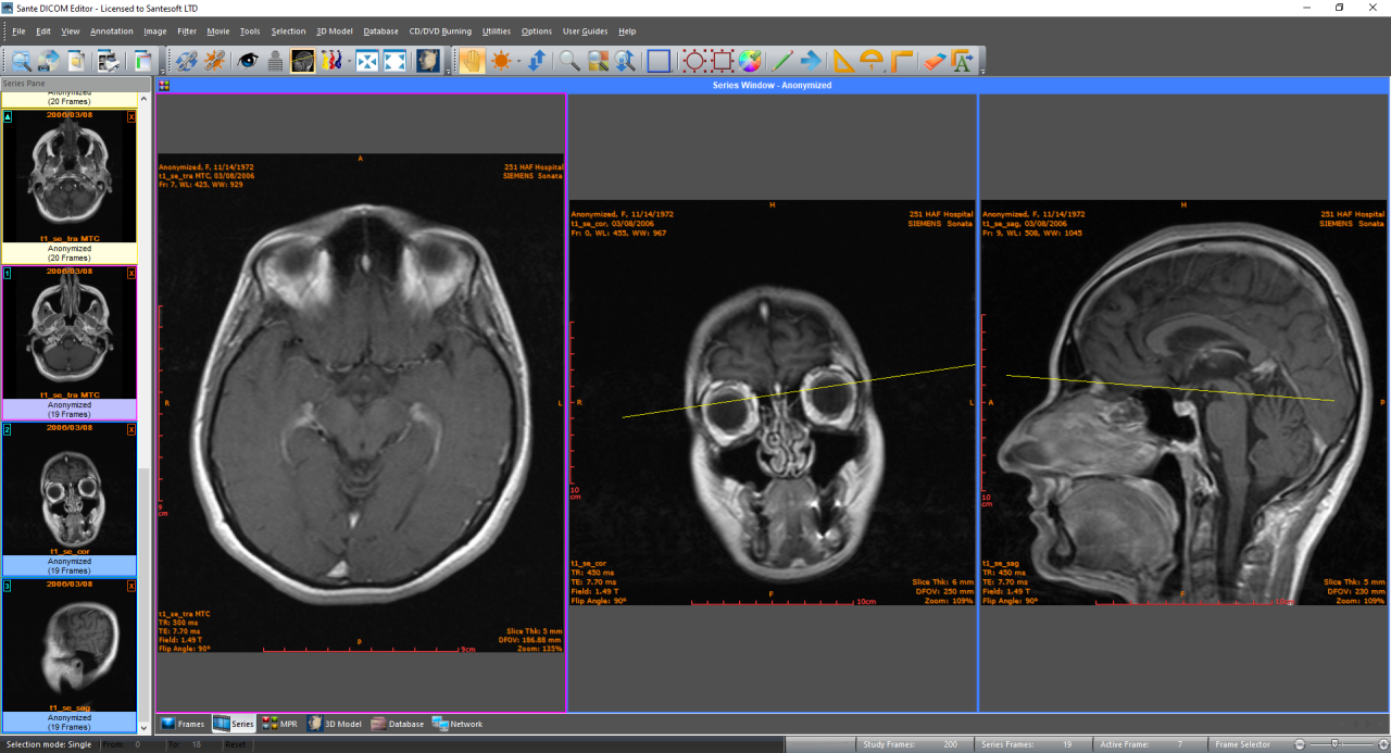
Открываешь программу — и первое, что бросается в глаза: меню и значки прямо как в Word или Excel. Всё разложено по крупным вкладкам (для редактирования, просмотра, экспорта), а каждая функция на виду и подписана. Это правда облегчает жизнь — не блуждаешь по куче выпадающих меню, где обычно прячутся нужные опции.

Измерения, аннотации, обработка — всё в одном месте

Что приятно: здесь можно настраивать изображения как угодно.

  • Измерять длины, площади, объёмы — находка для того, кто сравнивает динамику опухолей или считает размеры очагов в лёгких.
  • Вставлять аннотации: заметки к любому месту снимка, причём остаются в файле — не потеряешься.
  • Править заголовки и теги: если нужно быстро переименовать исследование для базы или убрать личные данные, никакой магии не нужно.
  • Удалять ненужные кадры — бегло очищаешь серию, где получилась лишняя повторная съёмка.

Одна из особенностей — встроенный анонимайзер. С его помощью можно убрать личную информацию и даже так называемые "выжженные" (burned in) подписи на самих изображениях. Это идёт на пользу, если нужно отправлять снимки коллегам или выкладывать кейсы в открытый доступ.

Поддержка форматов — прямо-таки универсал

Не знаю, сталкивались ли вы с этим, но хранить большие серии DICOM-снимков — тот ещё вызов. Программа поддерживает экспорт в кучу форматов:

  • JPG, BMP, TIFF, PNG — когда важно просто картинку скинуть
  • AVI и HTML — тут можно собрать целое видео с прокруткой слоя за слоем (вот это действительно удобно для демонстраций)
  • RAW, BIN, JPEG2000 — этими я лично не пользовался, но знаю, что для некоторых специфических задач это важно

На практике это реально экономит место. Пример: однажды у меня была серия КТ грудной клетки почти на 700 Мб, а после экспорта в JPEG нужные кадры заняли всего 90 Мб.

Удобная работа с DICOMDIR и памятью

Отдельно понравилось, как реализована навигация по DICOMDIR (это такой файл-органайзер серии изображений): всё показывается списком в виде дерева, разворачиваешь нужное исследование, серию — и не путаешься в сотнях файлов.

Кстати, программа умеет оценить, сколько "оперативки" потребуется для работы с загруженной серией. Дойдёте до лимита — цифра моргнёт. Честно, мелочь, а приятно: не раз помогло избежать зависаний на стареньком ноутбуке.

Для кого полезно?

  1. Врачам — для быстрой обработки и презентации снимков пациентам или коллегам.
  2. Студентам — чтобы учиться понимать DICOM и тренироваться в анализе изображений.
  3. Исследователям — здесь есть экспорт, сравнение снимков в динамике, отчёты.

Помощь и стабильность

Меню «Помощь» — невероятно полезная штука для новичка. Там объяснено и что такое DICOM, и как быстро создать свои фильтры для обработки. У меня лично за две недели тестов программа ни разу не вылетала и не создавала нагрузку на систему — даже при большом количестве файлов процессор работал сносно.

Краткий вывод

Sante DICOM Editor — это не только «просмотрщик», а полноценный рабочий инструмент для медицины и науки. Не скажу, что это единственная программа на рынке (например, есть OsiriX или RadiAnt), но её сочетание простоты, поддержки форматов и работы без установки монструозных библиотек заслуживает большой плюс. Для базовых и продвинутых задач — отличный выбор.

Важное замечание: если нужно что-то более сложное — вроде построения 3D-реконструкций или интеграции с PACS-серверами, возможно, стоит рассмотреть что-то посерьёзнее. Но для ежедневных задач врача или лаборанта этот софт справится с лихвой.

P.S. Официальный сайт программы с подробностями: https://www.santesoft.com/. Если есть вопросы — смело пишите в комментарии, помогу советом из своего опыта.

Скачать с официальной страницы Sante DICOM Editor
Аркадий Кузнецов - IT-эксперт и автор обзоров программного обеспечения

Аркадий Кузнецов

IT-эксперт15+ лет опыта в тестировании программного обеспечения

Несколько лет увлекаюсь тестированием софта различных категорий. За годы работы протестировал более 20000+ программ, помог тысячам пользователей выбрать подходящие решения. Регулярно публикую обзоры на основе реального опыта использования.

Связаться: ВКонтакте

Все обзоры основаны на личном опыте тестирования. Не сотрудничаю с производителями ПО — только честные оценки.

Похожие программы

Рейтинг программы
Еще нет оценок
Оцените программу:
Категория Наука/CAD
Разработчик Santesoft
Размер 163 MB
Лицензия Trial
ОС
  • Windows 11
  • Windows Server 2022
  • Windows Server 2019
  • Windows Server 2016
  • Windows 10 32/64 bit
  • Windows Server 2012
  • Windows 2008
  • Windows 8 32/64 bit
  • Windows 7 32/64 bit
  • Windows Vista 32/64 bit
Нейросеть подберет аналоги Sante DICOM Editor

Скриншот «Sante DICOM Editor»